联系方式
Contact US
24小时急救热线:
0379-65959120
在众多急症中,脑梗死以其高致残率、高死亡率,成为最需要争分夺秒处理的疾病之一。很多人认为脑梗是老年人的“专利”,但近年来,年轻患者的比例正悄然上升。
近日,我院脑五科接诊的24岁宋先生(化名),他是一名大厂程序员,每天长时间对着电脑,平时身体健康,那天上班期间突然感觉一阵眩晕,两条腿不听使唤,身体往左边倾倒,接着便赶紧打120救护车送到了我院。一检查发现,左侧小脑半球急性脑梗死。结合询问 病史,考虑患者不排除因外力原因导致椎动脉夹层,
经常听到按摩后头晕…… 运动后脑梗 ……估计不少人会心里纳闷: 听说过主动脉夹层 但椎动脉夹层又是什么病?
椎动脉夹层是青年脑卒中的重要原因,在青年缺血性脑卒中约占20%,被公认为青年卒中的“头号杀手”,若不及时治疗,会有致残致死风险。
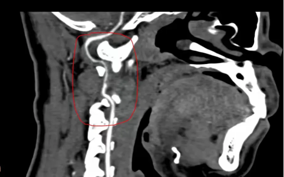
图为患者的头颈联合CTA,考虑左椎动脉V3段夹层伴附壁血栓形成




为进一步明确夹层的位置、长度以及血流情况并进一步治疗,脑五科团队为患者进行脑血管造影检查明确为椎动脉夹层,血流良好,不需要血管内治疗。经积极抗凝等治疗,宋先生头晕及双下肢无力等症状基本消失。
患者行脑血管造影显示左侧椎动脉夹层已修复
什么是椎动脉夹层?
椎动脉夹层是指椎动脉血管内膜撕裂导致血液进入血管壁内形成壁内血肿,当血肿累及内膜及中膜时,造成血管狭窄、闭塞;若血液流入血管外膜下时,可形成夹层动脉瘤,破裂即导致蛛网膜下腔出血。椎动脉夹层是青年卒中的重要病因。
为何会发生椎动脉夹层呢?
除结缔组织疾病、肌纤维发育不良等先天性因素以外,颈部按摩或刮痧,各种颈部运动(如瑜伽导致颈部过厚拉伸)、举重或打球等剧烈运动、感染或某些动脉血管病(如高血压、纤维肌发育不良等)都可能会诱发椎动脉夹层的发生。
椎动脉夹层发生时的症状有哪些?
(1)椎动脉夹层发生时,由于患者血流进入血管的内皮下,易造成椎动脉和基底动脉供血不足,并引发一系列症状,主要表现为间歇性、发作性的神经功能障碍;
(2)患者可能出现复视、构音障碍和吞咽困难等脑干症状,也可能出现眩晕、共济失调等小脑症状,甚至部分患者还可能出现双侧黑蒙或同向性偏盲等枕叶脑组织缺血的症状;
(3)椎动脉夹层患者常感后枕部疼痛或枕部疼痛、蛛网膜下腔出血、后循环缺血性卒中、后颅窝脑干或颅神经被压迫等症状。椎动脉夹层是缺血性脑卒中病因之一,如发生急性闭塞,可能会导致大面积脑梗死,严重者影响生存质量,甚至出现生命危险;
(4)除此之外,部分患者还可能出现猝倒、运动障碍、感觉障碍、共济失调、头晕等相关的症状,偶尔会出现对侧肢体和同侧舌肌无力等表现;
(5)病情较为严重的患者甚至会出现脑干、小脑梗死的症状。

椎动脉夹层应该如何预防?
椎动脉夹层的发生可能与各种轻微的颈部活动相关。这些活动在生活中十分常见,几乎无法规避。
对于已经确诊血管发育缺陷疾病的患者 (如结缔组织疾病、血管疾病等),应遵循医生建议,考虑对特定的运动和活动采取限制。如果出现头颈部不适症状,应立即就医。
在日常生活中,一些人会因为肩颈疼痛选择颈部拉伸。在拉伸颈部肌肉时,应采取缓慢、轻柔的动作,避免粗暴、外力施加的动作。
在进行颈部力量训练时,应以有限的阻力循序渐进,避免粗暴动作造成颈部血管和肌肉骨骼系统损伤。
一些颈部动脉夹层患者可能会突然出现霹雳性头痛,对于任何疑似中风症状,应立即拨打急救电话 (120) 并就医。对普通人而言,日常出现突发的头颈部疼痛症状时,也应及时就医。